Brenner tumour
| Brenner tumor | |
|---|---|
![]() | |
| A Brenner tumor of ovary (gross image). | |
| Specialty | Gynaecology, oncology |
| Types | Borderline, malignantis a type of ovarian tumor.[1] |
Brenner tumor is a type of ovarian tumor.[1]
It is an uncommon subtype of the surface epithelial-stromal tumor group of ovarian neoplasms. The majority are benign, but some can be malignant.[2]
They are most frequently found incidentally on pelvic examination or at laparotomy.[3] Brenner tumours very rarely can occur in other locations, including the testes.[4]
Presentation
On gross pathological examination, they are solid, sharply circumscribed and pale yellow-tan in colour. 90% are unilateral (arising in one ovary, the other is unaffected). The tumours can vary in size from less than 1 centimetre (0.39 in) to 30 centimetres (12 in). Borderline and malignant Brenner tumours are possible but each are rare.
Diagnosis


Histologically, there are nests of transitional epithelial (urothelial) cells with longitudinal nuclear grooves (coffee bean nuclei) lying in abundant fibrous stroma.
Also recall that the "coffee bean nuclei" are the nuclear grooves exceptionally pathognomonic to the sex cord stromal tumor, the ovarian granulosa cell tumor, with the fluid-filled spaces Call–Exner bodies between the granulosa cells.[5][6]
Similar conditions
Transitional cell carcinoma is an even rarer entity, in which neoplastic transitional epithelial cells similar to transitional cell carcinoma of the bladder are seen in the ovary, without the characteristic stromal/epithelial pattern of a Brenner tumour.
Histologically, Leydig cell tumors of the testes and ovarian stromal Leydig cell tumors (ovarian hyperandrogenism and virilization) both have characteristic Reinke crystals. The same crystals were also noted under high power view in Brenner tumors.[7]
Eponym
It is named for Fritz Brenner (1877–1969), a German surgeon who characterized it in 1907.[8] The term "Brenner tumor" was first used by Robert Meyer, in 1932.[9]
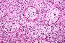
Additional images
Micrograph of a Walthard cell nest, the entity Brenner tumours are thought to arise from. H&E stain.
References
- 1 2 WHO Classification of Tumours Editorial Board, ed. (2020). "1. Tumours of the ovary". Female genital tumours: WHO Classification of Tumours. Vol. 4 (5th ed.). Lyon (France): International Agency for Research on Cancer. pp. 71–76. ISBN 978-92-832-4504-9. Archived from the original on 2022-06-17. Retrieved 2023-07-03.
- ↑ Marwah N, Mathur SK, Marwah S, Singh S, Karwasra RK, Arora B (April 2005). "Malignant Brenner tumour--a case report". Indian Journal of Pathology & Microbiology. 48 (2): 251–252. PMID 16758686.
- ↑ Green GE, Mortele KJ, Glickman JN, Benson CB (October 2006). "Brenner tumors of the ovary: sonographic and computed tomographic imaging features". Journal of Ultrasound in Medicine. 25 (10): 1245–51, quiz 1252–4. doi:10.7863/jum.2006.25.10.1245. PMID 16998096.
- ↑ Caccamo D, Socias M, Truchet C (May 1991). "Malignant Brenner tumor of the testis and epididymis". Archives of Pathology & Laboratory Medicine. 115 (5): 524–527. PMID 2021324.
- ↑ "Pathology Thread". Universith of Virgina Medical School. Archived from the original on 4 April 2006.
- ↑ Ahr A, Arnold G, Göhring UJ, Costa S, Scharl A, Gauwerky JF (July 1997). "Cytology of ascitic fluid in a patient with metastasizing malignant Brenner tumor of the ovary. A case report". Acta Cytologica. 41 (4 Suppl): 1299–1304. doi:10.1159/000333524. PMID 9990262.
- ↑ Kuno Y, Baba T, Kuroda T, Teramoto M, Hirokawa N, Endo T, Saito T (October 2018). "Rare case of occult testosterone-producing ovarian tumor that was diagnosed by selective venous hormone sampling". Reproductive Medicine and Biology. 17 (4): 504–508. doi:10.1002/rmb2.12213. PMC 6194242. PMID 30377407.
- ↑ Lamping JD, Blythe JG (September 1977). "Bilateral Brenner tumors: a case report and review of the literature". Human Pathology. 8 (5): 583–585. doi:10.1016/S0046-8177(77)80117-2. PMID 903146.
- ↑ Philipp EE, O'Dowd MJ (2000). The history of obstetrics and gynaecology. Carnforth, Lancs: Parthenon. p. 586. ISBN 978-1-85070-040-1.
External links
| Classification |
|---|
- "Brenner tumour". Medcyclopaedia. GE. Archived from the original on 2012-02-05.
- Histology Archived 2016-06-18 at the Wayback Machine at University of Utah
