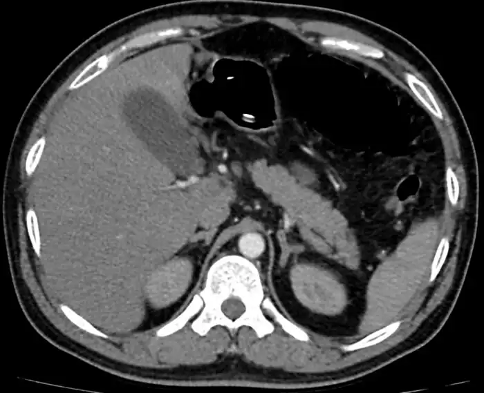
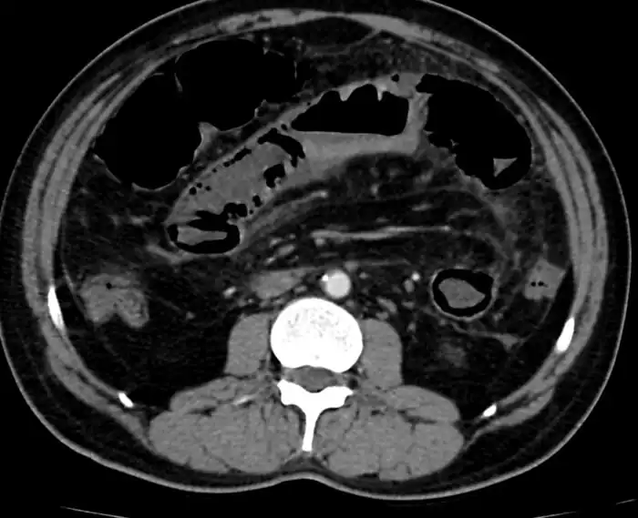
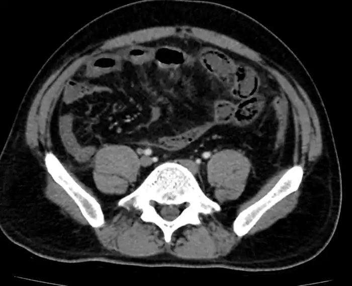
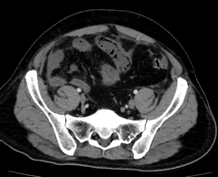
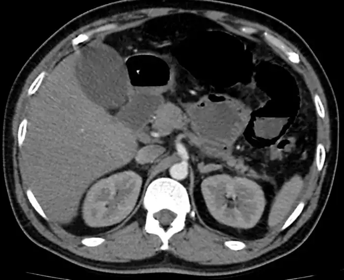
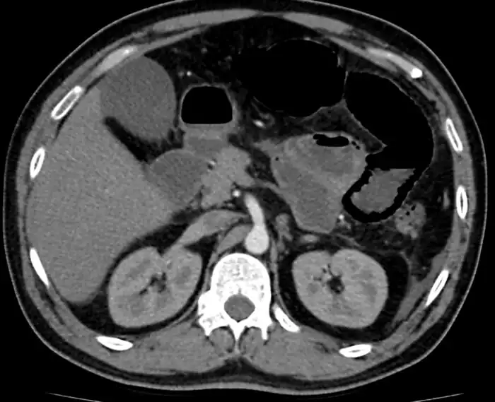
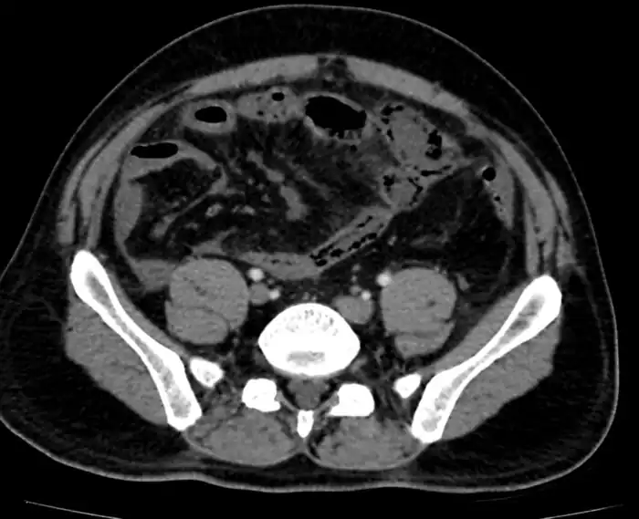
Mesenteric ischemia/CT image
Mesenteric ischemia
This article is issued from
Offline
. The text is licensed under
Creative Commons - Attribution - Sharealike
. Additional terms may apply for the media files.