Aggressive digital papillary adenocarcinoma
Aggressive digital papillary adenocarcinoma | |
---|---|
Other names: Digital papillary adenocarcinoma[1] and Papillary adenoma[2] | |
![]() | |
Specialty | Dermatology/oncology |
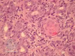
Aggressive digital papillary adenocarcinoma is a cutaneous condition characterized by an aggressive malignancy involving the digit between the nailbed and the distal interphalangeal joint spaces.[1]: 670
- Aggressive digital papillary adenocarcinoma-pathology
- Aggressive digital papillary adenocarcinoma-pathology
- Aggressive digital papillary adenocarcinoma-pathology
- Aggressive digital papillary adenocarcinoma-pathology
- Aggressive digital papillary adenocarcinoma-pathology
- Aggressive digital papillary adenocarcinoma-pathology
See also
References
Template:Epidermal-growth-stub
This article is issued from Offline. The text is licensed under Creative Commons - Attribution - Sharealike. Additional terms may apply for the media files.