Cylindroma
| Cylindroma | |
|---|---|
![]() | |
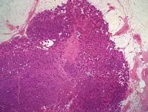
| Characteristic "jig-saw" appearance of the cylindroma present in normal breast tissue | |
A variant of eccrine spiradenoma which can be multiple on the scalp and can coalesce to form a 'Turban' tumour. In pathology, a cylindroma is a tumour with nests of cells that resemble a cylinder in cross section.
Types include:
- Dermal eccrine cylindroma, a benign tumour of the skin
- Adenoid cystic carcinoma, a malignant tumour of the salivary gland
See also
External links
| Classification |
|---|
Template:Epidermal-growth-stub
This article is issued from Offline. The text is licensed under Creative Commons - Attribution - Sharealike. Additional terms may apply for the media files.
