Forearm fracture
| Forearm fracture | |
|---|---|
| Other names: Radius and ulna fracture | |
![]() | |
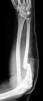
| Midshaft fracture of the radius and ulna | |
| Specialty | Orthopedics |
| Symptoms | Pain, swelling, bruising, deformity[1] |
| Complications | Compartment syndrome[2] |
| Usual onset | Sudden[1] |
| Types | Radius fracture, ulna fracture, or both[3] |
| Causes | Falling on an outstretched arm, direct blow, motor vehicle collision[1][4] |
| Risk factors | Osteoporosis, bone tumor[5] |
| Diagnostic method | X-ray[4] |
| Treatment | Splint, sling, realignment, immobilization[4][6] |
| Medication | Pain medication[4] |
| Frequency | Relatively common[4][7] |
A forearm fracture is one or more breaks of the bones in the forearm; a radius fracture, an ulna fracture, or both.[3] There may also be associated wrist or elbow joint damage.[1] Symptoms typically include pain, swelling, and deformity (looking shorter or appearing bent).[1] Other symptoms may include numbness, weakness, or bruising.[1]
The most common cause is falling on an outstretched arm.[4] Other causes include a direct blow to the arm or from a motor vehicle collision.[1] Risk factors include osteoporosis or the presence of a bone tumor.[5] The type of fracture can be confirmed by X-ray, usually with views from the front and side, including the wrist and elbow joints.[2]
At first a splint and sling may be applied.[4] The aim is to preserve the ability of the wrist to twist.[6] Resting, elevating the arm, applying ice, and taking pain medication can help control pain and swelling.[4] The broken bones may need to be realigned and then immobilized, either by internal or external means.[6] If there is dislocation of a joint, it needs reduction then immobilized.[6] Subsequently rehabilitation of the joint may be required.[6]
Forearm fractures are common in both children and adults.[4][7] In children they often occur when playing outdoors or during sports.[7] Isolated fractures are not as common as combined fractures of both the ulna and radius.[3] One of the most common forearm fractures is the Colles fracture, first described by Abraham Colles in 1814.[8]
Classification
A forearm fracture refers to one or more breaks of the bones in the forearm; a radius fracture or ulna fracture, or more commonly both.[3][6] The bones can break in several places; near the wrist, in the middle or near the elbow.[7] When both bones break, the breaks occur at around the same level.[6] The fractures can be closed, with skin intact, or open, where there is accompanying overlying wound, and are often associated with wrist or elbow joint damage such as dislocation or displacement.[4][1]
Radial fractures
A fracture of the shaft of the radius can occur on its own, or be associated with disruption of the ulna-radial joint at the wrist, called a Galeazzi fracture.[2] A fracture of the radial head or neck with disruption of the ulna-radial joint at the wrist is called a Essex-Lopresti fracture.[2]
Galeazzi fracture
Ulna fractures
An isolated fracture of the ulna, also called a night stick fracture, is usually a sign of having defended oneself while protecting the head from being hit by a blunt object.[4][2] If associated with dislocation of radial head, it is called a Monteggia fracture, which can then be further classified according to the direction of displacement of the head of the radius at the elbow.[2]
Monteggia fracture
Updisplaced isolated ulna fracture
Signs and symptoms
There is usually a history of high impact trauma to the forearm.[2] This is followed by pain and swelling over the injured part of the arm. Moving the wrist or elbow is usually painful and the forearm may have a deformity; it may look shorter or appear bent.[1] The fracture may be open, where the skin is torn, or closed, where the overlying skin is intact.[1] Associated nerve damage may result in numbness in the fingers, a weak arm or wrist, or inability to feel things.[1]
Severe nerve damage may result in the inability to move the wrist or fingers.[1] Associated damage to blood vessels may result in bruising, or discolouration of the fingers.[1] Muscle damage can leave the forearm with restricted movements.[9] The wrist and elbow also require examining.[10] There may be some crackling felt at the elbow when straightening the arm.[2]
Causes
A fracture in the forearm is usually due to a direct blow to the arm, falling on an outstretched arm, or as a result of trauma such as in a motor vehicle accident.[1]
In the elderly, osteoporosis can result in a forearm fracture.[5] Rarely, other diseases of the bone such as a cancer can cause a fracture in the forearm.[5]
Diagnosis
The diagnosis of a forearm fracture is made by first inspecting and then feeling the injured forearm for any obvious deformity and tenderness, with particular attention to the radial head.[2] The type of forearm fracture can be confirmed by an x-ray, usually with views from the front and the side, and must include the wrist and elbow joints.[2]
Front view of displaced fractured radius and ulna at wrist
Side view of displaced fractured radius and ulna at wrist
Front view of bowing fractured radius and ulna
Side view of bowing fractured radius and ulna
Treatment
Treatment begins with protecting the arm from any further damage, by applying a splint and using a sling.[4] The aim is to preserve the ability of the wrist to twist.[6] Resting and elevating the arm, applying ice and taking painkillers can help control swelling and pain.[4] The principles of treatment relate to the general treatment of long bones and joints. If a long bone breaks, it needs to be realigned and then immobilised either by internal of external means. If there is involvement of a joint, it needs reduction then realignment and immobilisation by internal of external means. Subsequently there is need for rehabilitation of the joint.[6]
Outcomes
The prognosis depends on the severity of the injury.[4] Compartment syndrome of the forearm is less common than lower leg compartment syndrome.[2]
Epidemiology
Forearm fractures are common.[4] Isolated fractures in the forearm are not as common as combined fractures of both the ulna and radius.[3] Over a 3-year period, in the 1990s, at the trauma unit of the Royal Infirmary of Edinburgh, over three-quarters of all fractures were of the radius, near the wrist.[11]
In children, fractures in the forearm are common, particularly when playing outdoors and during sports, when they may fall on an outstretched arm.[7] The forearm is the most common site of fracture in children.[12] The 2010 US census revealed almost 18% of all fractures in children to be forearm fractures.[11]
History
One of the most commonest types of forearm fracture, the Colles fracture, was first described by Abraham Colles in 1814 at the Royal College of Surgeons Ireland.[8]
Other animals
It may not always be noticeable when dogs and cats fracture an ulna or radius.[13]
References
- 1 2 3 4 5 6 7 8 9 10 11 12 13 14 "Adult Forearm Fractures - OrthoInfo - AAOS". www.orthoinfo.org. American Academy of Orthopaedic Surgeons. July 2011. Archived from the original on 8 March 2021. Retrieved 8 March 2021.
- 1 2 3 4 5 6 7 8 9 10 11 White, Timothy O.; Mackenzie, Samuel P.; Gray, Alasdair J. (2016). "11. Forearm". McRae's Orthopaedic Trauma and Emergency Fracture Management (3rd ed.). Elsevier. p. 212-226. ISBN 978-0-7020-5728-1. Archived from the original on 2021-08-28. Retrieved 2022-03-14.
- 1 2 3 4 5 LeMoal, Clifford; Baranowski, Leon (2019). "25. Musculoskeletal Injuries". Emergency Medical Responder (Canadian Edition). Jones & Bartlett Learning. p. 545. ISBN 978-1-284-19663-4. Archived from the original on 2021-08-28. Retrieved 2021-03-09.
- 1 2 3 4 5 6 7 8 9 10 11 12 13 14 15 Black, W. Scott; Becker, Jonathan A. (15 November 2009). "Common Forearm Fractures in Adults". American Family Physician. 80 (10): 1096–1102. ISSN 0002-838X. Archived from the original on 8 March 2021. Retrieved 8 March 2021.
- 1 2 3 4 Small, Roy F.; Yaish, Amjad M. (2021), "Radius and Ulnar Shaft Fractures", StatPearls, Treasure Island (FL): StatPearls Publishing, PMID 32491613, archived from the original on 28 August 2021, retrieved 8 March 2021
- 1 2 3 4 5 6 7 8 9 Hughes, Sean P. F.; Porter, Richard W. (1997). "7. Upper limb-forearm, wrist and hand injuries". Textbook of Orthopaedics and Fractures. London: Arnold. pp. 74–79. ISBN 0-340-61381-5. Archived from the original on 2021-08-28. Retrieved 2021-03-11.
- 1 2 3 4 5 "Forearm Fractures in Children - Types and Treatments - OrthoInfo - AAOS". www.orthoinfo.org. American Academy of Orthopaedic Surgeons. June 2019. Archived from the original on 8 March 2021. Retrieved 8 March 2021.
- 1 2 Summers, Kevin; Fowles, Sarah M. (2021). "Colles' Fracture". StatPearls. StatPearls Publishing. Archived from the original on 2021-08-28. Retrieved 2021-03-08.
- ↑ Ebnezar, John (2010). "14. Injuries of the Forearm". Textbook of Orthopedics (PDF) (4th ed.). Jaypee Brothers Medical Publishers. pp. 170–182. ISBN 978-81-8448-744-2. Archived (PDF) from the original on 2021-08-28. Retrieved 2021-03-11.
- ↑ White, Timothy O.; Mackenzie, Samuel P.; Gray, Alasdair J. (2016). "24. Upper limb paediatric trauma". McRae's Orthopaedic Trauma and Emergency Fracture Management (3rd ed.). Elsevier. p. 279. ISBN 978-0-7020-5728-1. Archived from the original on 2021-08-28. Retrieved 2022-03-14.
- 1 2 Kakarala, Gopikrishna (13 November 2019). "Forearm Fractures: Practice Essentials, Anatomy, Pathophysiology". Archived from the original on 9 March 2021. Retrieved 9 March 2021.
- ↑ Duckworth, Andrew D.; Porter, Daniel E.; Ralston, Stuart (2016). "7. Paediatric orthopaedics and rheumatology". Orthopaedics, Trauma and Rheumatology. Elsevier. p. 249. ISBN 978-0-7020-6316-9. Archived from the original on 2021-08-28. Retrieved 2021-03-09.
- ↑ Johnson, Ann L. (2013). "33. Management of specific fractures". In Fossum, Theresa Welch; Dewey, Curtis W.; Horn, Caroline V.; Johnson, Ann L.; MacPhail, Catriona M.; Radlinsky, MaryAnn G.; Schulz, Kurt S.; Wilard, Michael D. (eds.). Small Animal Surgery Textbook - E-Book (4th ed.). St Louis, Missouri: Elsevier. pp. 1151–1152. ISBN 978-0-323-10079-3. Archived from the original on 2021-08-28. Retrieved 2021-03-13.
