Linear IgA bullous dermatosis
Linear IgA bullous dermatosis | |
---|---|
![]() | |
(a) Widespread vesiculobullous eruption on the lower limbs with elements in a “string of pearls” arrangement; (b) targetoid vesicular lesions on erythematous skin involving the dorsa of the hands; (c) blisters with a “string of pearls” configuration and crusts in the perioral area; (d) erythematous, vesicular lesions partially eroded on the posterior aspects of both thighs; (e) vesicles involving the vulvar area in a child.[1] | |
Specialty | Immunology, dermatology ![]() |
Linear IgA bullous dermatosis is a rare immune-mediated blistering skin disease frequently associated with medication exposure, especially vancomycin, with men and women being equally affected.[2]: 135 It was first described by Tadeusz Chorzelski in 1979 and may be divided into two types:[3]: 587
- Adult linear IgA disease is an acquired, autoimmune blistering disease that may present with a clinical pattern of vesicles indistinguishable from dermatitis herpetiformis, or with vesicles and bullae in a bullous pemphigoid-like appearance.[2] This disease can often be difficult to treat even with usually effective medications such as rituximab.[4]
- Childhood linear IgA disease (also known as "Chronic bullous disease of childhood") is an acquired, self-limited bullous disease that may begin by the time the patient is age 2 to 3 and usually remits by age 13.[2]
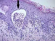
- Micrograph: Subepidermal blister formation and neutrophils
See also
References
- ↑ Genovese, Giovanni; Venegoni, Luigia; Fanoni, Daniele; Muratori, Simona; Berti, Emilio; Marzano, Angelo Valerio (2019). "Linear IgA bullous dermatosis in adults and children: a clinical and immunopathological study of 38 patients". Orphanet Journal of Rare Diseases. 14 (1): 115. doi:10.1186/s13023-019-1089-2. ISSN 1750-1172. PMC 6534856. PMID 31126328.
- "This article is distributed under the terms of the Creative Commons Attribution 4.0 International License (http://creativecommons.org/licenses/by/4.0/)"
- 1 2 3 James, William; Berger, Timothy; Elston, Dirk (2005). Andrews' Diseases of the Skin: Clinical Dermatology. (10th ed.). Saunders. ISBN 0-7216-2921-0.
- ↑ Freedberg, et al. (2003). Fitzpatrick's Dermatology in General Medicine. (6th ed.). McGraw-Hill. ISBN 0-07-138076-0.
- ↑ He Y, Shimoda M, Ono Y, Villalobos IB, Mitra A, Konia T, Grando SA, Zone JJ, Maverakis E (2015). "Persistence of Autoreactive IgA-Secreting B Cells Despite Multiple Immunosuppressive Medications Including Rituximab". JAMA Dermatol. 151 (6): 646–50. doi:10.1001/jamadermatol.2015.59. PMID 25901938.
External links
This article is issued from Offline. The text is licensed under Creative Commons - Attribution - Sharealike. Additional terms may apply for the media files.